Arch. Med. Vet., Vol. XXXIV, N° 2, 2002, pp. 287-292
COMUNICACIONES
Aislamiento de Clostridium perfringens tipo D en un ternero lactante afectado con abomasitis ulcerativa
R. A. ASSIS1 , MV, MSc; F. C. F. LOBATO1, MV, MSc, PhD; E. J. FACURY FILHO1, MV, MSc; F. A. UZAL2*, MV, MSc, PhD; F. J. F. SANTANA1, M.V, MSc; L. D. DIAZ1, MV.; P. M. PARREIRAS1, MV, MSc.
1 Veterinary
School, Federal University of Minas Gerais, Av. Antônio Carlos 6627, Zip Code
30123-970, Pampulha, Belo Horizonte-MG, Brazil.
2Animal Health Unit, The National Institute of Agricultural
Technology, CC 277, (8400) Bariloche, Argentina.
Se describe un brote de abomasitis ulcerativa asociada con infección por Clostridium perfringens tipo D en terneros lactantes. Seis terneros Holstein, de 2 semanas de edad, murieron después de presentar anorexia y apatía. Otros animales del mismo establecimiento habían muerto de la misma forma seis meses antes. A la necropsia el abomaso estaba muy distendido con contenido fluido y oscuro, la mucosa estaba edematosa y presentaba gran cantidad de úlceras milimétricas y habían depósitos de fibrina en la serosa. En el ciego de un animal se observaron extensas areas de infarto. En frotis de la mucosa abomasal se observaron bacilos cortos Gram positivos, no esporulados, aislándose de ella un cultivo rico de C. perfringens tipo D. Es probable que la baja inmunidad de los terneros debido a falta de calostro y estrés alimenticio, haya sido el predisponente para la infección por C. perfringens tipo D.
Palabras claves: Abomasitis ulcerativa, terneros, Clostridium perfringens tipo D.
An outbreak of ulcerative abomasitis in suckling calves associated with Clostridium perfrigens type D infection is described. Six twoweek old Holstein calves died after showing loss of appetite and lethargy. Other animals had died in similar circumstances during the previous six months. At necropsy, the abomasum was severely distended with dark fluid and the mucosa was oedematous and covered with many millimetric ulcers, while the serous surface of this organ was covered with fibrin. Several irregular black areas of infarcts were observed in the cecum of one animal. Histologically, the abomasal mucosa showed ulcers and haemorrhage, while the submucosa showed severe oedema and infiltration of neutrophils, lymphocytes and plasma cells. Short, thick, nonsporulated Gram positive rods were observed on smears of abomasal mucosa. C. perfringens type D was isolated from the abomasal mucosa. Low immunity and stress could have contributed to the pathogenesis of the lesions described.
Key words: Ulcerative abomasitis, calves, Clostridium perfringens type D.
The pathogenesis of abomasal ulceration in cattle is not well understood, although several causes have been suggested for it (Barker et al., 1993, Radostits et al., 1994). Amongst these, ulcers and erosions have been described in viral conditions such as lymphoma, bovine viral diarrhoea, rinder pest, infectious bovine rhinotracheitis and malignant catharral fever (Barker et al., 1993; Radostits et al., 1994). Mycotic abomasitis has also been associated with abomasal ulcers in older animals (Gitter and Austwick, 1957). Primary bacterial infections of abomasum in cattle are uncommon (Eustis and Bergeland, 1981), although abomasal ulcers in suckling calves have been described associated with infections by Helicobacter pylori (Jelinski et al., 1995), Campylobacter spp. (Millis et al., 1990) and Clostridium perfringens types A and E (Roeder et al., 1987). However, we are not aware of any report of abomasal ulcers in cattle associated with C. perfringens type D infection. We describe here an outbreak of ulcerative abomasitis associated with C. perfringens type D infection in suckling calves.
Six, two-week old suckling Holstein calves, originating from Santa Luzia, Minas Gerais, Brazil, died after showing loss of appetite and lethargy for approximately 24 hours. The animals had no access to colostrum and they were irregularly fed on reconstituted powdered milk, although water was available ad libitum. Other animals had died in similar circumstances during the previous six months.
Three of these calves were sent for postmortem examination to the Pathology Section of the Veterinary School, Minas Gerais Federal University, Brazil. The time elapsed between death and necropsy was approximately 3 hours for the three animals. Samples of abomasum of three animals and cecum of one animal were fixed in 10% buffered formalin for 24 h, processed routinely for histology and stained with haematoxilin and eosin and Maccallum- Goodpasture techniques (Luna, 1968). Smears were prepared from the abomasal mucosa of the three animals and stained with Gram. Additional samples from abomasal mucosa of one animal were also aseptically collected, grounded, inoculated onto blood agar, and incubated at 37°C under aerobic and anaerobic conditions, respectively, during 24 h. Grounded samples from abomasal mucosa were also inoculated onto C. perfringens selective medium and thioglycollate broth and incubated under anaerobic conditions during 24 h. Isolated colonies were typed by a PCR technique to amplify segments specific for the genes encoding alpha, beta, epsilon and iota toxins of C. perfringens (Uzal et al., 1997).
Grossly, the carcass and mucous membranes of the calves were pale. The abomasum of all three calves was severely distended with dark fluid and the mucosa was oedematous and covered with many 1 to 2 mm ulcers with dark red borders (figure 1). Small pin-point size gas bubbles were observed scattered all over the abomasal mucosa, while the serous surface of this organ was covered with fibrin. Multiple petequiae were present on the left ventricular endocardium. In the cecum of one animal, there were several irregular black areas of approximately 6 x 3 cm surrounded by a thin red halo.

| FIGURE 1. Multiple
ulcers in the abomasum of a calf. Ulceras múltiples en el abomaso de un ternero. |
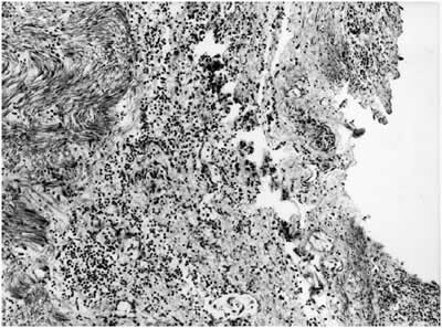
Histologically, all the layers of the abomasum showed severe oedema. The abomasal mucosa showed multiple ulcers and haemorrhage (figure 2). The submucosa showed diffuse infiltration of inflammatory cells, predominantly neutrophils, lymphocytes and plasma cells. Large amounts of thick, short Gram-positive rods were observed in the mucosa and submucosa. Large areas of necrosis surrounded by a ring of inflammatory cells and haemorrhage were observed in the cecum of the animal that showed gross lesions in this organ. Many arterioles in the submucosa of the cecum showed thrombi.

Short, thick, non-sporulated Gram positive rods, single and in short chains, and small Gramnegative rods were observed on the smears of abomasal mucosa of the three animals. A rich culture of umbilicated, grey colonies of approximately 2 mm diameter with a double halo of haemolysis were observed on agar plates incubated anaerobically, while a moderate amount of small grey, mate colonies grew on the same plates under aerobic conditions. Black colonies grew on the C. perfringens selective media. Profuse growth was observed in the thioglycollate broth inoculated with abomasal samples when subcultured anaerobically onto blood agar. A pure culture of colonies identical to those isolated directly on blood agar in anaerobiosis was obtained. The colonies observed in anaerobiosis and aerobiosis were identified as C. perfringens and Escherichia coli, respectively, using conventional biochemical tests (Holt et al., 1994). The C. perfringens isolate was typed by PCR as type D.
A diagnosis of diffuse ulcerative abomasitis was established based upon the pathological findings. Ulcers of abomasum, erosions and abomasitis have been described in newborn suckling calves associated with different predisposing factors. Amongst these are traumatic erosions (Gitter and Austwick, 1957), feed changes (Radostits et al., 1994), physical or environmental stress, vitamin E and copper deficiency (Roeder et al., 1988, Jones et al., 1997) and low immunity (Roeder et al., 1988).
C. perfringens type D can be a normal inhabitant of the small intestine of ruminants (Niilo, 1980) and it has occasionally been isolated, though in small amounts, from the abomasum of healthy sheep (Bullen, 1952). It is therefore likely that small amounts of this microorganism can be found in the abomasum of healthy cattle as well. However, rich cultures of C. perfringens type D, like those obtained in this study, are not normally grown from the abomasum of healthy ruminants.
E. coli was isolated in small amounts from abomasum. This microorganism is an environmental contaminant and an opportunistic pathogen, which is usually associated to enteric infections, septicemia, urinary tract infection and mastitis (Gyles, 1994). It is likely that in the present study E. coli was a postmortem contaminant, although we can not rule out that the abomasal ulcers observed were the consequence of a mixed infection by C. perfringens type D and E. coli.
Some of the predisposing factors mentioned above could have been responsible for the overgrowth of C. perfringens type D in the abomasum of the calves in this study. Of these, feed changes, environmental stress and low immunity are the most likely factors to have been involved in the pathogenesis of the abomasitis reported here.
Feed changes, in the form of irregular feeding, could have accounted for the hungry animals drinking an excess of milk when they had the opportunity to do so. Drinking an excess of milk has been suggested to be responsible for promoting an overgrowth of C. perfringens type D in the abomasum of sheep (Bullen, 1952). In addition, the lack of colostrum and poor nutrition were most likely responsible for low immunity and stress.
Other factors such as copper and vitamin E deficiencies were not investigated so we can not rule them out. It is unlikely however, that they were involved in this case because other signs of these conditions were not observed in these or other animals of the herd.
C. perfringens type D produces two major toxins namely alpha and epsilon, and several minor toxins (Niilo, 1980). Alpha toxin is a lecithinase that affects principally erythrocytes, while epsilon toxin exerts its action mostly on endothelial cells of the brain, lungs and kidneys. The latter is also said to increase the permeability of the small intestine epithelium (Niilo, 1980) and to produce inflammatory changes in isolated loops of sheep and goat colon (Uzal et al., 1999). However, no information is available about the action of this toxin in the abomasum of sheep and goats or in the whole gastrointestinal tract of cattle. The action of the minor toxins of C. perfringens type D in the digestive tract of ruminants is unknown. It is possible that one or more of the C. perfringens type D toxins were involved in the pathogenesis of the condition described here. Further studies are needed to clarify this point.
The most frequently used criterion for the definitive diagnosis of the enterotoxaemia produced by C. perfringens type D in sheep and goats is the detection of epsilon toxin in intestinal contents (Hornitzky and Glastonbury, 1993). In cattle, although some authors consider the presence of epsilon toxin in intestinal contents as an indication of enterotoxaemia (Hornitzky and Glastonbury, 1993), there are still doubts about the role of this toxin in the pathogenesis of the disease. In this study, the presence of epsilon toxin in the contents of abomasum or intestine was not investigated. However, the rich culture of C. perfringens type D obtained from the abomasum suggests that this microorganism was associated with the ulcerative lesions described. This criterion has been used before in absence of a positive test for epsilon toxin (Sterne and Batty, 1978; Sebald and Petit, 1997). Further research is needed to clarify the role of C. perfringens type D in the gastrointestinal diseases of cattle.
This work was partly supported by Centro Nacional de Pesquisa e Desenvolvimento Tecnológico (CNPq), Fundação de Amparo à Pesquisa do Estado de Minas Gerais (FAPEMIG), Brasil and by Fondo Nacional para la Ciencia y la Tecnología (PITC - 01 -3591), Argentina. R.A.Assis was supported by the Centro Nacional de Desenvolvimento Científico e Tecnológico (CNPq), Brazil. We thank S.J. Uzal for the review of the manuscript.
BARKER, I. K, A. A. VAN DREUMEL, N. PALMER. 1993. The alimentary system. In: Pathology of domestic animals. Jubb K. F., Kennedy P. C. and Palmer N. (eds.) Vol 2. 4th ed. Academic Press, San Diego. USA. pp. 1-318.
BULLEN. 1952. Enterotoxaemia of sheep. J. Comp. Path. Bact. 64: 201-206.
EUSTIS, S. L., M. E. BERGELAND. 1981. Suppurative abomasitis associated with Clostridium septicum infection. J. Am. Vet. Med. Assoc. 178: 732-734.
GITTER, M., P. K. C. AUSTWICK. 1957. The presence of fungi in abomasal ulcers of young calves: a report of seven cases. Vet. Rec. 69: 924-928.
GYLES, C. L. 1994. Escherichia coli. In: Pathogenesis of bacterial infections in animals. 2th ed. Carlton L. G. and Charles O. T. (eds.). Iowa State University Press, Ames, Iowa, USA.
HOLT, J. G., N. R. KRIEG, P. H. A. SNEATH, J. T. STALEY, S. T. WILLIAMS. 1994. Bergey's manual of determinative bacteriology. 9th ed. Williams & Wilkins, Baltimore, USA.
HORNITZKY, M. A. Z., J. GLASTONBURY. 1993. Enterotoxaemia in sheep, goats and cattle. In: Australian standard diagnostic techniques for animal diseases. Corner L. A., Bagust T. J. (eds.). Standing Committee on Agricultural and Resource Management, CSIRO. Melbourne, Australia. pp. 5.
JELINSKI, M. D., C. S. RIBBLE, M. CHIRINOTREJO, E. G. CLARK, E. D. JANZEN.1995. The relationship between the presence of Helicobacter pylori, Clostridium perfringens type A, Campylobacter spp, or fungi and fatal abomasal ulcers in unweaned beef calves. Can. Vet. J. 36: 379-382.
JONES, C. T., R. D. HUNT, N. W. KING. 1997. Veterinary Pathology. 6th ed., Williams & Wilkins, Baltimore, USA.
LUNA, L. G. 1968. Manual of the histologic staining methods of the Armed Forces Institute of Pathology. 3th ed., McGraw Hill, New York, USA.
MILLS, K.W., J. L. JOHNSON, R. L. JENSEN, L. F. WOODARD, A. R. DOSTER. 1990. Laboratory findings associated with abomasal ulcers/tympany in range calves. J. Vet. Diagn. Invest. 2: 208-212.
NIILO, L. 1980. Clostridium perfringens in animal disease. A review of current knowledge. Can Vet. J. 21: 141-148.
RADOSTITS, O. M, D. C. BLOOD, C. C. GAY. 1994. Veterinary medicine. 8th ed. Baillière Tindall, London, UK.
ROEDER, B. L., M. M. CHENGAPPA, T. G. NAGARAJA, T. B. AVERY, G. A. KENNEDY. 1987. Isolation of Clostridium perfringens from neonatal calves with ruminal and abomasal tympany, abomasitis, and abomasal ulceration. J. Am. Vet. Med. Assoc. 190: 1550-1555.
ROEDER, B. L., M. M. CHENGAPPA, T. G. NAGARAJA, T. B. AVERY, G. A. KENNEDY. 1988. Experimental induction of abdominal tympany, abomasitis, and abomasal ulceration by intraruminal inoculation of Clostridium perfringens type A in neonatal calves. Am. J. Vet. Res. 49: 201-207.
SEBALD, M., J. C. PETIT. 1997. Laboratory methods. Anaerobic bacteria and their identification. Institut Pasteur, Paris. pp. 161.
STERNE, M., I. BATTY.1978. Clostridios patógenos. Acribia. Zaragoza. pp. 126.
UZAL, F. A., J. J. PLUMB, L. L. BLACKALL, W. R. KELLY. 1997. PCR detection of Clostridium perfringens producing different toxins in faeces of goats. Lett. Appl. Microbiol. 25: 339- 344.
UZAL, F. A., M. GHODDUSI, W. R. KELLY, M. ROZMANEC. 1999. Comparative effect of Clostridium perfringens type D epsilon toxin in ligated intestinal loops of goats and sheep. J. Comp. Pathol. 121: 127-138.
Aceptado: 11.07.2002