Arch. Med. Vet., Vol. XXXVI, N° 1, 2004, pp. 71-78
COMUNICACIONES
Saprolegnia parasitica en salmones y truchas del sur de Chile
Saprolegnia parasitica in salmon and trout from southern Chile
L. ZAROR 1, T.M., Mg.Sc., Dr. Sc.; L. COLLADO 1, T.M.; H. BOHLE 2, T. M.; E. LANDSKRON 4, T. M., Mg. Sc.; J. MONTAÑA 3, T.M.; F. AVENDAÑO 4, T.M.
1
Instituto de Microbiología Clínica, Universidad Austral de Chile.
2 ADL Diagnostic Chile Ltd, Castro.
3 Marine Harvest Chile S.A., Puerto Montt.
4 Aquatic Healht Chile Ltd, Puerto Montt. Correspondencia:
lzaror@uach.cl
Summary
Thirty five strains of Saprolegnia
were isolated from salmon and trout, obtained from the IX, X and XII regions
in southern Chile. The strains were obtained from eggs, gills and fins of alevins
and smolt phase of different species of salmonids: Salmo salar
(Atlantic salmon); Oncorhynchus kisutch (Coho salmon) and
Oncorhynchus mykiss (rainbow trout).
The strains were re-isolated and purified in Sabouraud agar, Lactrimel and MAO
agar, supplemented with antibiotics. The strains were cultured in distilled
water and hemp seeds, for the production of sexual structures, and for their
morphological identification.
All strains collected, were identified as Saprolegnia parasitica.
This species was the only one isolated of its genus.
Key words: salmon, Saprolegnia parasitica, fish mycosis, saprolegniasis.
Resumen
Se estudiaron 35 cepas de Saprolegnia,
aisladas de Salmón y Trucha, provenientes de dos laboratorios ictiopatológicos
de Castro y Puerto Montt, de Chile. Las cepas fueron obtenidas de ovas, branquias
y aletas de alevines y "smolt", de distintas especies de salmonídeos: salmón
del Atlántico, salmón coho y trucha arco iris.
Se reaislaron las cepas y se purificaron en agar Sabouraud, agar Lactrimel y
agar MAO, con antimicrobianos. Saprolegnia fue cultivada en agua destilada
y semillas de cáñamo, para la producción de estructuras sexuales y posterior
identificación morfológica, según Dick (1973) y Seymour
(1970).
De las cepas estudiadas, las 35 correspondieron a Saprolegnia parasitica,
única especie aislada, conformando el 100 % del total. El 34% de las cepas presentó
estructuras sexuadas y el 100% se desarrolló a 30°C.
Palabras claves: salmón, Saprolegnia parasitica, micosis de peces, saprolegniosis.
INTRODUCCIÓN
Las micosis de los peces constituyen uno de los aspectos más confusos y menos explorado de la ictiopatología, las cuales producen grandes pérdidas económicas en acuicultura, menores sólo a las pérdidas producidas por bacterias (Meyer, 1991). Las micosis no sólo afectan a la industria de la pesca y acuicultura, en la disminución de la cantidad del producto, sino también por la mala calidad de los individuos infectados, que no son aptos para los tratamientos de conservación (Kinkelin, 1985).
El relativo retraso en el desarrollo de la micología de peces responde a una serie de consideraciones de orden taxonómico. Sólo después de 1970 se dispuso de investigaciones continuadas, que permitieron contar con material especializado para la clasificación de estos microorganismos (Kinkelin, 1985). Además, por lo general, los productores de peces se interesan en resolver inmediatamente problemas de tipo práctico, por ejemplo: casos en los cuales ha habido una alta mortalidad de peces atribuibles a un hongo en particular, el énfasis principal es eliminarlo rápidamente controlando el brote, sin interesarse en investigar el agente causal y su relación con las especies afectadas (Hughes, 1994).
Adicionalmente a la dificultad para clasificar estos organismos, el control de la infección micótica es también un problema y una vez más hace necesaria una clara identificación para establecer un apropiado tratamiento (Srivastava, 1987; Tampieri, 1998). Existe una gran variedad de hongos y otros organismos relacionados, con una posición taxonómica incierta, que actúan como agentes patógenos en peces (Alderman, 1982). Un grupo de estos organismos son el llamado grupo DRIP (Dermocystidium, rossete agent, Ichthyophonus y Psorospermium) (Mendoza y col., 2002), además de géneros como: Exophiala, Ochroconis, Aspergillus, Phoma, Achlya, Aphanomyces, Saprolegnia, entre otros. Este último género tiene una gran importancia por su alta frecuencia como agente de enfermedad en pisciculturas de salmonídeos (Mueller y Whisler, 1994; Paxton y Willoughby, 2000).
El género Saprolegnia y los demás Oomycetes (Achlya, Pythium, Aphanomyces) no pertenecen al Reino Fungi, clasificándose actualmente en el Reino Chromista (también llamado Stramenopila), filogenéticamente más cerca de las algas y del Reino vegetal que de los hongos y los animales (Alexopoulos y col., 1996; Guarro y col., 1999). Sin embargo, producen hifas cenocíticas, micelio, crecen en medios de cultivo para hongos y su clasificación se realiza según sus características morfológicas, por lo que anteriormente se les incluía entre los hongos. La principal descripción del género Saprolegnia se realizó en 1970 por Seymour, donde se delimitan las especies según criterios morfológicos, inducidos por el uso de semillas de cáñamo -Cannabis sativa- como sustrato en un medio de agua destilada estéril. Gran parte de las cepas obtenidas desde peces, en cultivo, no producen estructuras sexuales de identificación. A estas cepas, Coker en 1923 las llamó Saprolegnia parasitica, denominación que se mantiene actualmente (Hatai y col., 1990; Hughes, 1994).
Un número pequeño de Saprolegnia parasitica produce estructuras sexuales de identificación, después de prolongadas incubaciones y bajo ciertas condiciones de temperatura y nutrición. Para las cepas que no presentan sexualidad, se han adaptado técnicas moleculares como DNA "fingerprinting" o identificación por anticuerpos monoclonales contra esta especie (Whisler, 1996; Bullis y col., 1996; Bangyeekhun y col., 2001).
Saprolegnia parasitica ha sido reconocida como la principal especie patógena de organismos relacionados con hongos en peces, actuando principalmente como patógeno secundario. Otras especies de Saprolegnia, ocasionalmente, han sido implicada como son Saprolegnia ferax, Saprolegnia diclina, entre otras (Smith y col., 1985).
Saprolegnia no sobrevive en ambientes con alta concentración de sal, por lo tanto, la saprolegniosis no ocurre durante la fase marina ni estuarina, en la migración de salmónidos, considerándose una enfermedad de agua dulce (Padgett, 1984). Sin embargo, Langvad en 1994 reportó que Saprolegnia parasitica podría sobrevivir y crecer en ambientes con una salinidad relativa de aproximadamente 1.75% de NaCl. No se observó desarrollo en concentraciones iguales o superiores a 3.5% de NaCl.
La infección por Saprolegnia es fácilmente controlada por la aplicación de Verde Malaquita, un colorante que puede ser aplicado sólo o en combinación con otros fungicidas. Este colorante ha sido prohibido en gran parte de los países productores, ya que se le ha atribuido propiedades teratogénicas, volviendo Saprolegnia a ser un problema de importancia económica en las pisciculturas (Alderman, 1994).
Las enfermedades micóticas producen grandes pérdidas económicas en acuicultura. En Japón, la mortalidad anual ha llegado a sobrepasar el 50% en Salmón coho, debido a Saprolegnia parasitica (Bruno y Wood, 1999).
Chile es el segundo productor mundial de salmón. En pisciculturas de la Quinta Región de Chile, la mortalidad de las ovas fluctúan entre un 15 a un 25%. Las investigaciones en nuestro país se han enfocado principalmente a la prevención y tratamiento de las ovas infectadas. Los estudios taxonómicos y de tratamiento de las diferentes especies micóticas patógenas de peces, con especial referencia al género Saprolegnia son sumamente escasos, por lo cual se hace imprescindible realizarlos (Basulto y Flores, 1963; Vivar y Bernal, 1998).
MATERIAL Y METODOS
Se estudiaron 70 cepas de hongos aisladas de salmón y trucha, enviadas desde dos laboratorios de Ictiopatología ubicados en las ciudades de Castro y Puerto Montt, durante el período comprendido entre abril del 2001 y junio del 2002. Treinta y cinco de ellas correspondieron a Saprolegnia spp, motivo de este estudio.
Las cepas de Saprolegnia spp fueron obtenidas de ovas, branquias y aletas de alevines e individuos hasta fase smolt, de distintas especies de salmonídeos: Salmo salar (salmón del Atlántico); Oncorhynchus kisutch (salmón coho) y Oncorhynchus mykiss (trucha arco iris) (figura 1).
Luego de una observación microscópica para determinar las características principales, como el tipo de hifa (septada ó cenocítica) (figura 2), o la presencia de conidios, entre otros, los cultivos debieron ser purificados, ya que habitualmente están contaminadas con distintas bacterias, propias de la flora dérmica de los peces. Para esto, se hicieron traspasos a placas de Agar Sabouraud o Lactrimel adicionado de cloramfenicol levógiro (0.05 g/l) y gentamicina (100 mg/l) (Zaror y col., 2000) y agar MAO.
Las cepas se purificaron por traspasos sucesivos, al menos 5 veces, utilizando un trozo de agar (5 x 5 mm) obtenido de la periferia de la colonia en crecimiento hasta obtener cultivos libres de contaminación bacteriana. Luego se obtuvo un último cuadrado de agar colonizado y se dispuso en el centro de una placa Petri con agar Sabouraud adicionado de cloramfenicol y gentamicina (figura 3). A los tres días se introdujeron varias mitades de semilla de cáñamo (Cannabis sativa), esterilizadas en autoclave, sobre la colonia en crecimiento. Al cabo de dos a tres días estas se encontraban colonizadas por las cepas. En este momento las semillas se retiraron con pinza estéril y se colocaron en placas Petri con agua destilada estéril y se incubaron a una temperatura de 4° C por un período entre 20 y 30 días. Además, para conservar las cepas, las semillas colonizadas se guardaron en tubos tapa rosca con agua destilada estéril a temperaturas de refrigeración (Dick, 1965). Al cabo de 15 días deberían aparecer las estructuras vegetativas y de reproducción asexual y a los 30 días aproximadamente deberían observarse las estructuras de reproducción sexual. Para su identificación final se tomaron como caracteres con valor taxonómico: tipo de esporangio y su dehiscencia; tipo de pared, la posición y forma de la oogonia; tipo y número de oosporas; presencia y origen de anteridio y crecimiento a 30°C. Las cepas, caracterizadas como Saprolegnia spp se clasificaron según Dick (1973) y Seymour (1970).





Las cepas de Saprolegnia que no produjeron estructuras sexuales, según los métodos tradicionales, fueron incubadas incorporando en el medio de cultivo hormonas vegetales que controlan diversos e importantes aspectos del desarrollo de las plantas, como son la auxina AIB (Ácido Indolbutírico) y la citoquinina BAP (Benzyladenina), en las mismas condiciones de tiempo y temperatura.
RESULTADOS Y DISCUSION
Son escasas las publicaciones sobre hongos patógenos de peces, más aún en Chile y en especial al género Saprolegnia. Entre ellas cabe destacar las publicaciones de Basulto y Flores en 1963, las de Vivar en 1997 y Vivar y Bernal en 1998 todas referidas a Saprolegnia.
La escasez de material bibliográfico contribuye al desconocimiento general de la patología de peces por estos agentes. Los estudios que existen al respecto son, en su gran mayoría, realizados en el extranjero.
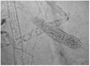
Por otra parte, la atribución, posible, de patogenicidad a estos organismos se fundamenta en que en los casos, en los que se aislaron especies del género Saprolegnia, estas fueron obtenidas de manifestaciones visibles de la paramicosis en el cuerpo de los ejemplares estudiados, siendo descritas como motas de algodón, correspondiendo a un micelio aéreo (Kinkelin, 1985), lo que claramente se evidenció en los ejemplares recibidos (figura 1) y en el examen microscópico directo de las muestras (figura 2). En ningún caso se aisló desde órganos internos. Se ha observado que a veces se confunden los filamentos no tabicados de Saprolegnia spp con zigomicetos.
De las 35 cepas identificadas, todas correspondieron a Saprolegnia parasitica, representando el 100% de los aislamientos en este estudio (cuadro 1), 23 cepas no produjeron estructuras sexuales luego de largas incubaciones y fueron identificadas según Coker (1923). Las restantes 12 cepas, produjeron estructuras sexuales y se clasificaron según Seymour (1970). No se obtuvo éxito tratando de estimular la sexualidad de este microorganismo con hormonas vegetales como auxinas y citoquininas, incorporadas a los medios de cultivo.
Todas las cepas de Saprolegnia pasitica desarrollaron a 30°C, aunque a diferente velocidad de crecimiento. Esta especie fue la única aislada de su género. Mueller y Whisler, en 1994, encontraron que del total de Saprolegnias aisladas, un 98.7% correspondía a Saprolegnia parasitica, un 0.97% correspondía a Saprolegnia diclina y un 0.32% a Saprolegnia ferax.
| CUADRO 1: Especies
de Saprolegnia aisladas de salmonídeos, Chile. Saprolegnia species isolated from salmonid fish, Chile. |
|
Especie identificada |
Origen geográfico |
Localización
anatómica |
Especie
de peces salmonídeos |
|||
| Saprolegnia parasitica Total = 35 |
Chiloé Quetroleufú Lago Sofia Pucón Astilleros Temuco Pto. Montt |
22 4 3 2 2 1 1 |
Branquia Aletas Ovas |
18 13 4 |
S.del
Atlántico S. coho Trucha arcoiris |
24 6 5 |
La especie identificada presentó las siguientes características:
Saprolegnia parasitica: Características macroscópicas: colonia de crecimiento rápido, 3 días aproximadamente, algodonosa y hialina. Sin pigmento por el anverso y reverso.
Microscopía: hifa cenocítica de 20 a 40 µm de ancho, ramificada moderadamente; gemas abundantes, piriformes o irregulares, terminales, solas o frecuentemente en cadenas, ocasionalmente intercalares, pudiendo en algunas ocasiones derivar a zoosporangia u oogonia. Zoosporangia abundante, cilíndrica, claviforme o irregular, renovación por proliferación interna o sucesión basipetal; descarga de la zoospora de tipo saprolegnoide, raramente aplanoide. Oogonia frecuentemente ausente, formada luego de largos períodos de incubación, terminal, a veces lateral o intercalar, claviforme, piriforme o irregular. Pared oogonial sin perforaciones, delgada y lisa. Oosporas maduras esféricas, subcéntricas, llenando el oogonio de 14 a 23 en número. Anteridio diclino, raramente andrógino (figuras 4 y 5).
Históricamente se ha encontrado a Saprolegnia parasitica como el principal eucariota patógeno de peces de agua dulce, pudiendo ser agente de infección primaria u oportunista (Roberts, 1981). Se le ha reconocido como agente de enfermedad de peces desde hace siglos, sin embargo, el principal problema en el desarrollo de su estudio es la complicación taxonómica. Por otra parte, la principal especie patógena del género Saprolegnia, no forma frecuentemente estructuras sexuales que permitan su identificación por los métodos clásicos de morfología, existiendo una polémica, respecto a su denominación. Esto ha venido a resolverse con el avance en el desarrollo de métodos moleculares. Las técnicas moleculares diseñadas para la identificación de estos organismos tienen las mismas características de todos los métodos moleculares: una alta sensibilidad y especificidad, sin embargo estos dos grandes atributos son sus más importantes defectos. Una técnica molecular detecta ADN, pero no dice si este viene de una célula viva o muerta, no habla de la cantidad de células presentes y no brinda información acerca del estado del huésped; por lo tanto, la integración de técnicas clásicas y modernas es completamente necesaria (Bangyeekhun y col., 2001).
En estudios anteriores (Vivar, 1997), las incubaciones se realizaron entre un rango de 10°C a 20°C de temperatura, generando estructuras sexuales desde la cuarta y hasta la octava semana. En nuestro caso, las cepas incubadas a temperatura ambiente no fueron capaces de generar estructuras sexuales, sin embargo, cuando se incubaron a 4°C, un 34% de las cepas estudiadas produjeron estructuras de reproducción sexual (oogonios y anteridios) entre la segunda o tercera semana de incubación y un 66% de las cepas no produjeron estas estructuras, aún cuando las incubaciones se extendieron sobre ocho semanas (figuras 4 y 5).
Hatai y col, en 1990 proponen diferenciar Saprolegnia parasitica de Saprolegnia diclina, mediante el crecimiento a la temperatura de 30°C. Sólo Saprolegnia parasitica es capaz de desarrollarse a esa temperatura. Nuestras cepas de Saprolegnia parasitica, fueron, todas, capaces de crecer a la temperatura requerida, aunque con distintas velocidad de crecimiento.
Otro problema en el estudio de estos microorganismos es el aislamiento y cultivo, ya que la identificación y caracterización de miembros del género Saprolegnia sólo pueden ser hechos en cultivos puros (Seymour, 1970). Son varios los autores que han adicionado a sus medios antimicrobianos como penicilina G y sulfato de estreptomicina (Seymour,1970), otros han agregado pimaricina como agente antifúngico en un medio para el aislamiento de Saprolegnia spp. (Ho, 1975). En nuestro caso la combinación cloramfenicol-gentamicina ofreció buenos resultados, manteniendo los cultivos puros durante el proceso de identificación. No se obtuvo éxito tratando de estimular la sexualidad de este microorganismo con hormonas vegetales como auxinas y citoquininas, las que se incorporaron a los medios de cultivo.
Uno de los principales problemas en la acuicultura es el tratamiento antimicótico, desde que el Verde de Malaquita ha sido prohibido en la mayoría de los países productores de salmones, debido a sus propiedades teratogénicas. Actualmente se está sustituyendo su uso por un compuesto denominado "Bronopol", sin embargo, sigue la búsqueda de compuestos alternativos, adecuados (Marking y col.,1994; Schreier y col., 1996; Branson, 2002). Por ello, son necesarios estudios de susceptibilidad de nuevos fármacos dirigidos a cada especie patógena, en particular, para avanzar en este problema. Es aquí cuando nuevamente la identificación de hongos patógenos o microorganismos relacionados se hace imprescindible, conformando la base para la terapia futura.
BIBLIOGRAFIA
ALDERMAN, D. J. 1982. Fungal Disease of Aquatic Animals. In: Roberts R J. ed,: Microbial Diseases of Fish. Special Publications of the Society for General Microbiology. N° 9, Academic Press, London and New York. pp 189-242.
ALDERMAN, D. J. 1994. Control de oomycete pathogens in aquaculture, In: G. J. Mueller, ed, Salmon Saprolegniasis. Bonneville Power Administration, Div. Fish and Wildlife, Portland,OR. pp 111-130.
ALEXOPOULOS, C. J., CW. MIMS, M. BLACKWELL. 1996. Introductory Mycology. 4th. Ed. John Wiley, New York.
BANGYEEKHUN, E., S. M. A. QUINIOU, J. E. BLY, L. CERENIUS. 2001. Characterisation of Saprolegnia sp. isolates froom channel catfish, Dis. Aquat. Org. 45: 53-59.
BASULTO, S., C. FLORES. 1963. Saprolegnia En peces, Rev. Soc. Med. Vet Ch. 11: 7-8.
BRANSON E. 2002. Efficacy of bronopol against infection of rainbow trout (Oncorhynchus mykiss) with the fungus Saprolegnia species. Vet Rec. 151: 539-441.
BRUNO, D. W., B. P. WOOD. 1999. Saprolegnia and the other Oomycetes. In: P. T. K. Woo and D. W. Bruno, ed, Fish Diseases and Disorders, Volume 3: Viral, Bacterial and Fungal infections,CAB International. pp 599-659.
BULLIS, R. A., E. J. NOGA, M. G. LEVY. 1996. Production and preliminary characterization of monoclonal antibodies to Saprolegnia parasitica. Mycol. Res. 100: 489-494.
COKER, W. C. 1923. The Saprolegniaceae, with notes on other water molds. University of North Carolina Press, Chapel Hill, North Carolina. USA.
DICK, M. W. 1965. The maintenance of stock cultures of Saprolegniaceae. Mycologia. 57: 828-831.
DICK, M. W. 1973. Saprolegniales. In: The Fungi, an advanced treatise. A. S (eds), Academic Press, London. pp 113-144.
GUARRO, J., J. GENÉ, A. STCHIGEL. 1999. Developments in Fungal Taxonomy. Clin. Microbiol. Rev. 12: 454-500.
HATAI, K., L. G. WILLOUGHBY, G. W. BEAKES. 1990. Some Characteristics of Saprolegnia obtained from fish hatcheries in Japan. Mycol. Res. 94: 182-190.
HO, H. H. 1975. A selective medium for the isolation of Saprolegnia spp. from freshwater. Can. J. Microbiol. 21: 1126-1128.
HUGHES, G. C. 1994. Saprolegniasis, then and now: a retrospective. In : G. J. Mueller, ed., Salmon Saprolegniasis. Bonneville Power Administration, Div. Fish and Wildlife, Portland,OR. pp 3-32.
KINKELIN, P., C. H. MICHEL., P. GHITTINO. 1985. Hongos y micosis, Tratado de las enfermedades de los peces. Editorial Acribia, S. A: Zaragoza España pp. 109-116.
LANGVAD, F. 1994. Saprolegnia in Norwegian Fish Farming. In: G. J. Mueller, ed., Salmon Saprolegniasis. Bonneville Power Administration, Div. Fish and Wildlife, Portland, OR. pp 188-201.
MARKING, L. L., J. J. RACH., T. M. SCHREIER. 1994. Search for antifungal agents in fish culture, In : G. J. Mueller, ed., Salmon Saprolegniasis. Bonneville Power Administration, Div. Fish and Wildlife, Portland,OR. pp 131-148.
MEYER, F. P. 1991. Aquaculture disease and health management. J. Anim. Sci. 69: 4201-4208.
MENDOZA, L., J. W. TAYLOR., L. AJELLO. 2002. The Class Mesomycetozoea: A Heterogeneous Group of Microorganisms at the Animal-Fungal Boundary. Annu. Rev. Microbiol. 56: 315-344.
MUELLER, G. J., H. C. WHISLER. 1994. Fungal parasites of salmon from the Columbia River watershed, In: G. J. Mueller, ed., Salmon Saprolegniasis. Bonneville Power Administration, Div. Fish and Wildlife, Portland, OR. pp 163-187.
PADGETT, D. E. 1984. Evidence for extreme salinity tolerance in saprolegniaceous fungi (oömycetes). Mycologia 76: 372-375.
PAXTON, C. G. M., L. G. WILLOUGHBY. 2000. Resistance of perch eggs to attack by aquatic fungi. J. Fish Biol. 57: 562-570.
ROBERTS, R. J. 1981. Micología de los Teleósteos. En: Patología de los Peces. Ediciones Mundi- Prensa, Madrid. pp 235-247.
SCHREIER, T. M., J. J. RACH, G. E. HOWE. 1996. Efficacy of formalin, hydrogen peroxide, and sodium chloride on fungal-infected rainbow trout eggs. Aquaculture 140: 323-331.
SMITH, S. N., R. A. ARMSTRONG, J. SPRINGATE, G. BARKER. 1985. Infection and colonization of Trout eggs by Saprolegniaceae. Trans. Br. Mycol. Soc. 85: 719-723.
SEYMOUR, R. L. 1970. The Genus Saprolegnia. Nova Hedwigia. 19: 1-124.
SRIVASTAVA, R. C. 1987. Fish Mycophathology current trends in life sciences-XIV. Today & Tomorrow's printers and publishers, New Delhi. p 107.
TAMPIERI, M. P. 1998. Mycoses of fish. Med. Mycol. 36: 216-219.
VIVAR, V. M. 1997. Saprolegniosis en Trucha arcoiris (Oncorhynchus mykiss Walbaum) en la piscicultura de Río Blanco (V Región-Chile). Bol. Micol. 12: 1-12.
VIVAR, V. M., F. L. BERNAL. 1998. Control de saprolegniales por ácido acético, cloruro de sodio y verde malaquita en huevos de trucha arcoiris. Bol. Micol. 13: 29-34.
WHISLER, H. C. 1996. Identification os Saprolegnia ssp. Pathogenic in Chinook Salmon. In: G. J. Mueller (ed), Bonneville Power Administration, Portland, OR. p 58.
ZAROR, L., H. FERNÁNDEZ, L. OTTH, G. WILSON, A. GUTIERREZ. 2000. Manual de Laboratorio de Microbiología Sistemática y Clínica; Facultad de Medicina, Instituto de Microbiología Clínica, UACh.
Aceptado: 09.03.2004.