Arch. Med. Vet. 37, Nº 2, 2005, págs. 133-37

ARTICULO ORIGINAL

 

Virus herpes canino en Chile: Propiedades biológicas#

Canine herpes virus-1 in Chile: Biological properties

 

C Navarro1*, M Celedón 1, J Pizarro 1, A Gaggero2

1 Facultad de Ciencias Veterinarias y Pecuarias. Universidad de Chile.
2 Instituto de Ciencias Biomédicas. Facultad de Medicina. Universidad de Chile.


SUMMARY

The study described here studied the biological properties of the RP5 isolate and confirms the presence of Canine herpes virus-1 (CHV-1) by means of the immunofluorescence direct method. The preliminary characterization of the RP5 isolate suggested it belongs to the Herpesviridae family, subfamily Alphaherpesvirinae. As a specific confirmation of the presence of CHV-1, biological properties such as the viral title determination, the envelope presence, a kinetic behavior model consisting of one step growth and the intranuclear inclusion bodies formation were conducted. This viral characterization will allow future studies such as an evaluation of the magnitude of infection in the canine population to be conducted and information regarding the repercussion of infection by this virus in breeding places can be collected. A method of rapid laboratory diagnosis can also be developed.

Key words: canine herpes virus type 1 (CHV-1), biological properties.

Palabras clave: virus herpes canino tipo 1, propiedades biológicas.

RESUMEN

Este trabajo describe la caracterización biológica del aislado RP5 y confirma la detección de VHC-1 señalada con anterioridad mediante la prueba de inmunofluorescencia directa. La caracterización preliminar del aislado RP5 sugirió su inclusión en la familia Herpesviridae, subfamilia Alphaherpesvirinae. Como una confirmación específica de la presencia de VHC-1 en nuestro país, se determinaron algunas de sus propiedades biológicas, tales como la determinación del título y la presencia de envoltura viral, la verificación de un comportamiento cinético compatible con el modelo de crecimiento de un paso y la presencia de cuerpos de inclusión intranucleares. Esta caracterización viral permitirá realizar futuras investigaciones, como la evaluación de la magnitud de infección en la población canina y la obtención de la información sobre la repercusión de infección de virus en planteles reproductores.


INTRODUCCION

El virus herpes canino tipo 1 (VHC-1) pertenece a la familia Herpesviridae, que comprende más de cien tipos de virus capaces de infectar virtualmente todas las especies de aves y mamíferos en los cuales se ha investigado. La subfamilia Alphaherpesvirinae, a la cual pertenece el VHC-1, incluye cepas virales capaces de realizar ciclos líticos en las células que infectan, son de propagación rápida, con un amplio rango de hospedadores y producen infecciones latentes, principalmente en los ganglios nerviosos (Boehmer y Lehman 1997). El VHC-1 causa la enfermedad hemorrágica mortal en cachorros de menos de 4 semanas; y en adultos, provoca infecciones de la mucosa externa del aparato genital y forma parte de los agentes patógenos encontrados en el síndrome respiratorio denominado "tos de las perreras". La enfermedad neonatal fue descrita por primera vez en Estados Unidos de Norteamérica (Carmichael y col 1965) y estudios posteriores han demostrado que posee una distribución mundial (Ratud y Werner 1967, Huxtable y Farrow 1970, Thompson y col 1972, Reading y Field 1998).

En la enfermedad neonatal, los cachorros se infectan por vía oronasal, generalmente mediante lamidos de sus madres infectadas o por contacto directo con otros perros infectados. En los cachorros de menos de 4 semanas se presentan síntomas que consisten en anorexia, disnea, dolor a la palpación abdominal, incoordinación y heces blandas amarillo verdosas. A veces ocurre descarga nasal serosa o hemorrágica. Las petequias son frecuentes en las membranas mucosas. La temperatura rectal no está elevada y puede presentarse trombocitopenia en cachorros moribundos, hecho que ocurre luego de un período de incubación de 3 a 8 días. Al respecto, existen dos factores que predisponen a que en los cachorros caninos la infección con herpes virus sea generalmente fulminante: la temperatura óptima de la replicación viral (32-33 °C) coincide con la de los tractos genital y respiratorio alto y a que los cachorros al nacer son relativamente inmaduros respecto de los centros termorreguladores hipotalámicos. Esto conduce a que la infección sea hipotermia dependiente, es decir, a mayor hipotermia, más grave y rápido es el desenlace (Fenner y col 1992).

En el examen durante la necropsia y como producto de la replicación del virus en las paredes de los vasos sanguíneos, se observan lesiones macroscópicas en los cachorros, que se traducen en grandes lesiones en riñones, pulmones, glándulas adrenales y tracto gastrointestinal. En las células infectadas se observan cuerpos de inclusión intranucleares, típicos de herpesvirus (Love y Huxtable 1976).

Hace algunos años, la presencia de este virus en nuestro país fue sugerida por observación de muerte perinatal. En estos cachorros, al realizar la necropsia, se observaron petequias en riñón e hígado y la histopatología del hígado demostró gran cantidad de cuerpos de inclusión intranucleares eosinófilos, semejantes a los producidos por el VHC-1. Al preparar un inóculo e infectar cultivos de la línea celular de riñón fetal equino, se produjo el efecto citopático característico de virus herpes y se presumió la presencia del VHC-1, en espera de una técnica serológica confirmatoria como seroneutralización (Larenas y col 1992). Este artículo constituyó la primera información nacional documentada respecto de la presencia de VHC-1 en Chile. Posteriormente se informó la detección del virus mediante la obtención del aislado RP5, que produce el efecto citopático característico de virus herpes: lisis celular y que presenta alta reactividad en una prueba de inmunofluorescencia directa que utiliza un anticuerpo policlonal conjugado con isotiocianato de fluoresceína, dirigido contra glicoproteínas de la envoltura del VHC-1 (Navarro y col 2003).

El propósito de este artículo es dar a conocer la caracterización biológica del VHC-1, la que contribuiría además al diagnóstico en los caninos adultos usados como reproductores en diversos criaderos de perros de raza en nuestro país. Sin duda, la obtención de una cepa nativa del virus, mediante la caracterización del aislado RP5, facilitaría la implementación de algunas técnicas de diagnóstico virológicas y serológicas que permitan conocer la magnitud de la infección en la especie canina en nuestro medio, estableciendo medidas de control.

MATERIAL Y METODOS

Aislado viral. Se utilizó el aislado viral denominado RP5, que produjo efecto citopático en los cultivos inoculados y que presentó alta reactividad en la detección de antígenos de superficie del VHC-1 mediante una prueba de inmunofluorescencia directa (Navarro y col 2003).

Cultivos celulares. Se prepararon cultivos celulares de la línea MDCK (Madin-Darby Canine Kidney, catálogo ATCC: CCL-34), originaria de riñón canino. Se cultivaron a 37 °C en medio esencial mínimo de Eagle (MEM), adicionado con antibióticos (penicilina (100U/ml), estreptomicina (100 µg/ml)) y suplementado con 10% de suero fetal bovino.

Caracterización biológica parcial del aislado RP5. La caracterización biológica del aislado RP5 contempló la cuantificación de su infectividad y la determinación de su sensibilidad frente a un solvente lipídico. Posteriormente se verificó la formación de cuerpos de inclusión intranucleares y se determinó su velocidad de multiplicación.

Cuantificación de la infectividad. Para medir la infectividad del aislado RP5 se utilizó el procedimiento de titulación por dilución punto final (DPF) que permiten conocer la cantidad de agente infeccioso contenido en 1 ml, con capacidad de infectar el 50% de los cultivos celulares susceptibles. Para realizar la cuantificación se utilizó la línea celular MDCK, que se propagó en tubos serológicos en concentración de 8x104 células por mL. Transcurridas 24 horas, se procedió a inocular estas células con diluciones en base 10 (desde 10-1 hasta 10-8) en volúmenes de 200 uL, empleando 6 tubos por dilución del agente infeccioso. Se incubó durante una hora a 32-33 °C. Luego se retiró el sobrenadante y se reconstituyó el volumen original (1,5 mL) con medio de cultivo celular de mantención. Posteriormente se incubó a la misma temperatura con observación diaria durante 5 días y se registró el tiempo de aparición de ECP. El título fue calculado por el Método de Reed y Müench (1938), que permite determinar la dilución del agente infeccioso que produce ECP en el 50% de los cultivos celulares inoculados.

Determinación de la sensibilidad frente a solvente lipídico. Para confirmar la presencia de envoltura en el aislado RP5, se determinó su sensibilidad frente a cloroformo, mediante el protocolo de Feldman y Wang (1961). Este método consiste en formar una mezcla de 1 parte de cloroformo y 19 partes del inóculo viral (100 DCIT50), la cual se mezcló mediante agitación durante 10 minutos a temperatura ambiente. Posteriormente se centrifugó a 500xg durante 5 minutos y la fracción libre de cloroformo fue utilizada como inóculo. Como control de infección se utilizó un inóculo sin mezclar con cloroformo y para verificar integridad celular se utilizó una mezcla de cloroformo y medio de cultivo (1:19). Ambos controles siguieron el mismo procedimiento descrito para la mezcla cloroformo: inóculo. Posterior al tratamiento se midió la infectividad del aislado sometido a la acción del cloroformo mediante el procedimiento de titulación DPF descrito anteriormente.

Formación de cuerpos de inclusión. El procedimiento consistió en la observación de células de la línea celular MDCK dispuestas en laminillas de vidrio dentro de tubos de Leighton. Las células, sembradas en concentración de 8x104 /mL, fueron incubadas durante 24 horas en una estufa de cultivo a 37 °C. Luego de verificar presencia de monocapa celular en la laminilla de vidrio, se procedió a retirar el medio de cultivo para agregar 300 uL de inóculo viral (100 DCIT50) sobre la laminilla de vidrio e incubar a 32-33 °C durante una hora en estufa de cultivo. Transcurrido este tiempo, se procedió a completar el volumen con medio de cultivo adicionado con 5% de suero fetal bovino, como medio de mantenimiento. Transcurridas 16 horas postinoculación, se procedió a colectar las laminillas infectadas y de control. Las células fueron fijadas mediante la adición de acetona fría (-20 °C) durante 10 minutos y posterior lavado en PBS. Se dejaron secar a temperatura ambiente y se procedió a realizar la tinción Hematoxilina-eosina, que consistió en un lavado bajo agua corriente, luego se sumergió en hematoxilina (2g/L) por 5 minutos. Enseguida, se sumergió 3 veces en una solución diferenciadora (alcohol 70% + HCl) y posteriormente en agua durante un minuto. Transcurrido el tiempo, se sumergió en eosina 1-2 % durante 10 a 15 segundos, se lavó rápidamente con agua destilada y se sumergió sucesivamente durante un minuto en soluciones alcohólicas de 70, 95 y 100%. Finalmente, se lavó rápidamente con xilol, y posteriormente la laminilla fue montada invertida sobre un portaobjetos, previa adición de una gota de bálsamo de Canadá. La visualización se realizó mediante un microscopio de luz convencional, utilizando aumentos de 200X y 1000X.

Determinación de la velocidad de multiplicación. Para la realización de esta experiencia se prepararon monocapas de células MDCK dispuestas en tubos serológicos. A las 24 horas, se procedió a inocular 40 tubos con 200uL de una dosis de 100 DICT50 del agente infeccioso, y como control, sin infectar se mantuvieron 20 tubos serológicos con su respectiva monocapa celular intacta. La experiencia contempló los siguientes tiempos de reacción: 0; 0,5; 1; 2; 4; 6; 8; 10; 12; 14; 16; 18; 20; 22; 24; 36; 48; 72 horas y en cada tiempo se dispuso de duplicados. Para cada tiempo, cada muestra fue separada en sobrenadante (ST) y monocapa celular (PT) y se congeló a _20 °C, hasta terminar el proceso completo (72 horas). Luego se procedió a efectuar tres ciclos de congelamiento/descongelamiento de las muestras PT, con el objetivo de romper las células presentes y facilitar la liberación del eventual virus. En el caso de los sobrenadantes, éstos se utilizaron sin modificación. Cada una de estas muestras fue considerada como inóculo particular y se realizaron diluciones en medio de cultivo, con el fin de medir el título viral para cada uno de los tiempos, tanto para el virus intracelular (muestras PT) como para el virus extracelular (muestras ST), en forma análoga como se describió anteriormente.

RESULTADOS

Cuantificación de la infecciosidad del agente infeccioso. Al inocular diluciones del aislado RP5 sobre monocapas de células MDCK en el procedimiento de titulación viral (Método de Reed y Müench 1938) se encontró un valor de DICT50 = 105,5 / 0,2 mL, es decir, DICT50 = 1,58 x 106/mL.

Sensibilidad del aislado RP5 a solvente lipídico. En ninguna de las experiencias realizadas con el inóculo tratado con solvente lipídico se reprodujo el ECP característico: lisis celular. Las monocapas inoculadas no sufrieron desprendimiento sino hasta 10 días postinoculación, al igual que el control sin infectar y las monocapas inoculadas con la mezcla cloroformo/medio de cultivo. Esto sugiere que el desprendimiento celular final se produjo por el evidente sobrecrecimiento celular observado, descartando un eventual efecto tóxico. Los resultados descritos contrastan con lo observado al inocular con diluciones del control positivo (inóculo sin tratamiento con cloroformo), que produce ECP visible a las 24 horas.

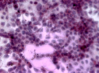
Formación de cuerpos de inclusión. La figura 1 muestra la existencia de cuerpos de inclusión intranucleares (teñido en rosado oscuro) en comparación con el citoplasma (teñido en rosado) en cultivos de células de la línea MDCK inoculados con el aislado RP5.


Figura 1. Formación o presencia de cuerpos de inclusión intranucleares.200X.

Formation or presence of intranuclear inclusion bodies.200X.

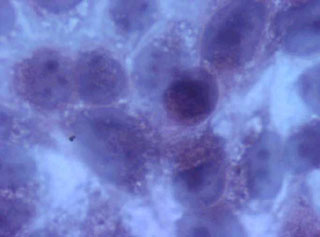
La figura 2 centra la atención en una célula en especial que muestra la apariencia de una célula teñida en azul (citoplasma) y un núcleo agrandado (azul oscuro) con presencia de cuerpos de inclusión típicos de herpesvirus. En la figura 1 es posible, además, observar un foco de destrucción celular, similar al observado en los cultivos celulares, foco formado por el desprendimiento celular posterior a la formación del racimo ("cluster") de células.


Figura 2. Formación o presencia de cuerpos de inclusión intranucleares.1000X.

Formation or presence of intranuclear inclusion bodies.1000X.

Determinación de la velocidad de multiplicación. La figura 3 muestra la curva de crecimiento del aislado RP5. Esta curva representa la aparición de viriones en el interior de la célula (azul), como también la aparición de viriones en el sobrenadante o extracelular (rojo). Cada punto en el tiempo representa, en cada caso, el logaritmo negativo del valor de DICT50/ml. Esta curva mostró un aumento progresivo del título viral en el interior de la célula entre las 4 y las 6 horas postinfección (pi.), alcanzando un máximo entre las 14 y 16 horas pi. A partir de esa hora se apreció una disminución progresiva en el tiempo. Respecto de la aparición de viriones en el exterior de la célula, fue posible observar un aumento significativo entre las 6 y 8 horas pi., alcanzando un máximo a las 16 horas pi. Luego, se aprecia una leve disminución del título viral. Si bien ambas curvas mostraron un comportamiento inicial similar y sólo desfasado en el tiempo, luego de alcanzar un valor máximo, los títulos del agente infeccioso declinaron a valores menores pero no iguales, pues al término de la experiencia (72 horas) se observó que el título viral es mayor en el exterior de las células infectadas, diferencia que es mayor a dos órdenes de magnitud, es decir, se logra un DICT50 = 104 /mL para el virus intracelular en comparación con el DICT50 = 3x106/mL para el virus extracelular.


Figura 3. Curva de crecimiento (un paso) del aislado RP5. 0-72 horas post-inoculación.

One step growth curve of the RP5 isolated. 0-72 hours post-innoculation.

DISCUSION

El virus herpes canino produce la enfermedad hemorrágica en cachorros menores de cuatro semanas. Esta aseveración fue validada hace bastante tiempo atrás, en Estados Unidos de Norteamérica, al describirse este virus (Carmichael y col 1965). Desde entonces, es posible encontrar algunos informes que muestran diferentes enfoques a este problema y que le asignan presentación mundial. Esto último se refleja en los resultados obtenidos en esta investigación al someter al aislado RP5 a la caracterización biológica, que en conjunto con la identificación antigénica informada con anterioridad (Navarro y col 2003) concuerdan con los descritos en la literatura para el VHC-1, perteneciente a la familia Herpesviridae, subfamilia Alphaherpesvirinae.

En este estudio, luego de conocer el título del aislado RP5, se demostró la presencia de envoltura viral mediante el tratamiento del inóculo con cloroformo. La observación de ECP sólo en los controles positivos de infección, resultó decisiva. La explicación para este resultado, residiría en que estos viriones poseen una envoltura externa compuesta de proteínas, lípidos y carbohidratos. Esto indica que, al preincubar el aislado RP5 en presencia del solvente orgánico, se destruyó la envoltura, con lo cual la condición infectante se perdió. Si en los cultivos inoculados se hubiera observado ECP, este efecto podría explicarse por la presencia de un virus alternativo sin envoltura o por un efecto tóxico residual del cloroformo sobre la monocapa celular.

Por otra parte, la presencia de cuerpos de inclusión intranucleares eosinófilos resultó compatible con el mecanismo de replicación descrito para los virus herpes (Murphy y col 1999).

La siguiente evidencia que apoya la presencia de un virus herpes fue la obtención de una curva de aparición de viriones, tanto en el sobrenadante como en el interior de las células infectadas, que concuerdan temporalmente con las descritas para los virus herpes de la subfamilia Alphaherpesvirinae (Kaplan y Vatter 1959). El análisis de ambas curvas sugiere una acumulación inicial de viriones en el interior celular y posteriormente en el sobrenadante; es decir, el virus ingresa a la célula, se multiplica y realiza un ciclo lítico. Si bien este ECP puede ser observado a partir de las 16 horas, la curva de crecimiento viral indicaría que este efecto se inicia mucho antes, entre las 6 y 8 horas postinoculación.

Las evidencias encontradas en esta investigación permiten concluir que el aislado RP5 no sólo se comporta antigénicamente como el VHC-1 (Navarro y col 2003) sino que, además, comparte algunas de sus propiedades biológicas.

 

AGRADECIMIENTOS

A la Dra. Raquel Cepeda Canales, del Departamento de Ciencias Biológicas y al Dr. Carlos González Riveros, del Departamento de Patología Animal, ambos de la Facultad de Ciencias Veterinarias y Pecuarias de la Universidad de Chile, por su importante asesoría, fundamental en la obtención de los resultados referentes a cuerpos de inclusión intranucleares.

REFERENCIAS

Boehmer P, I Lehman. 1997. Herpes simplex virus DNA replication. Ann Rev Biochem 66, 347-384.

Carmichael LE, ID Strandberg, FD Barnes. 1965. Identification of a cytopathogenic agent infectious for puppies as a canine herpes virus. Proc Soc Exp Biol Med 120, 644-650.

Felman H, S Wang. 1961. Sensitivity of various viruses to chloroform. Proc Soc Exp Biol Med 106, 736-744.

Fenner F, PA Bachmann, EP Gibbs, FA Murphy, MJ Studert, DO White. 1992. Herpesviridae. Virología Veterinaria. Pp 349-386. Editorial Acribia, España.

Huxtable C, BR Farrow. 1970. Canine herpesvirus as a suspected cause of neonatal mortality in puppies. Austr Vet J 46, 344-345.

Kaplan A, A Vatter. 1959. Comparison of herpes simplex and pseudorabies virus. Virology 7, 407-416.

Larenas J, MC Santibáñez, P Berríos. 1992. Primeros antecedentes en Chile de infección por herpes canino con mortalidad neonatal. Mevepa 1, 13 y 16.

Love D, E Huxtable. 1976. Naturally-occurring neonatal canine herpesvirus infection. Vet Rec 99, 501-503.

Murphy FA, EPJ Gibbs, MC Horzinek, MJ Studdert. 1999. Herpesviridae. Vet Virol Pp 301-326. Academic Press. USA.

Navarro C, MO Celedón, J Pizarro. 2003. Detección de virus herpes canino tipo 1 en Chile. Arch Med Vet 35, 243-248.

Ratud D, G Werner. 1967. Le virus herpetique canin. Ann Inst Pasteur 112, 802-807.

Reading M, H Field. 1998. A serological study of canine herpesvirus-1 infection in the english dog population. Arch virol 143, 1477-1478.

Reed L, H Müench. 1938. A simple method of estimating fifty per cent endpoints. Am J Hyg 27, 493-497.

Thompson H, NG Wright, HJC Cornwell. 1972. Canine herpesvirus respiratory infection. Res Vet Sci 13, 123-126.

 

Aceptado: 22.02.05.

# Proyecto FIV 3634. Facultad de Ciencias Veterinarias y Dirección de Postgrado y Postítulo. Beca PG 11/01. Universidad de Chile.

* cabavarr@uchile.cl. Santa Rosa 11735. Casilla 2 Correo 15. La Granja. Santiago.